Vastly experienced and qualified in these disciplines, his surgical techniques are characterised by precision and attention to detail. He is a kind and highly skilled surgeon. His surgical technique is always very neat.
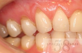
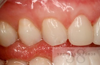
Emiliano’s skills include gum regeneration, crown lengthening & the treatment of peri-implantitis.
Emiliano graduated from the University of Turin, College of Dentistry, Italy in 1997 with 110/110 cum laude. He completed a two-year full-time programme in Implant Dentistry at New York University in 2000 having won a scholarship place. He achieved his MClinDent in Periodontology (with distinction) in 2008 having completed his studies at the Royal London Hospital.
Emiliano is a Mentor in Implant Dentistry for the Academy of Dental Implantology. He is on the General Dental Council Specialist register for Periodontology.
He qualified as a dentist in Italy in 1998 and went on to achieve Post Graduate qualifications in Periodontology both in New York and London (Guy’s, King’s and St Thomas’).
Federico has always had a special interest in surgical and aesthetic periodontal procedures and so limited his practice to Periodontology upon acquiring his MSc (2003) and gained entry to the GDC specialist list of periodontists in 2011.
He is diligent and conservative in his work, enabling patients to preserve their teeth for longer, and often for life. Federico is thoughtful, calm, and gentle, making him extremely well-liked by patients and the team alike.
Federico has extensive experience in all aspects of periodontal treatment and loves to stabilise patients with gum disease using both non-surgical and surgical techniques, he is highly skilled in grafting and crown lengthening procedures.